
آخرین اخبار
راهنمای جدید استفاده محتاطانهتر از رادیوگرافی در دندانپزشکی
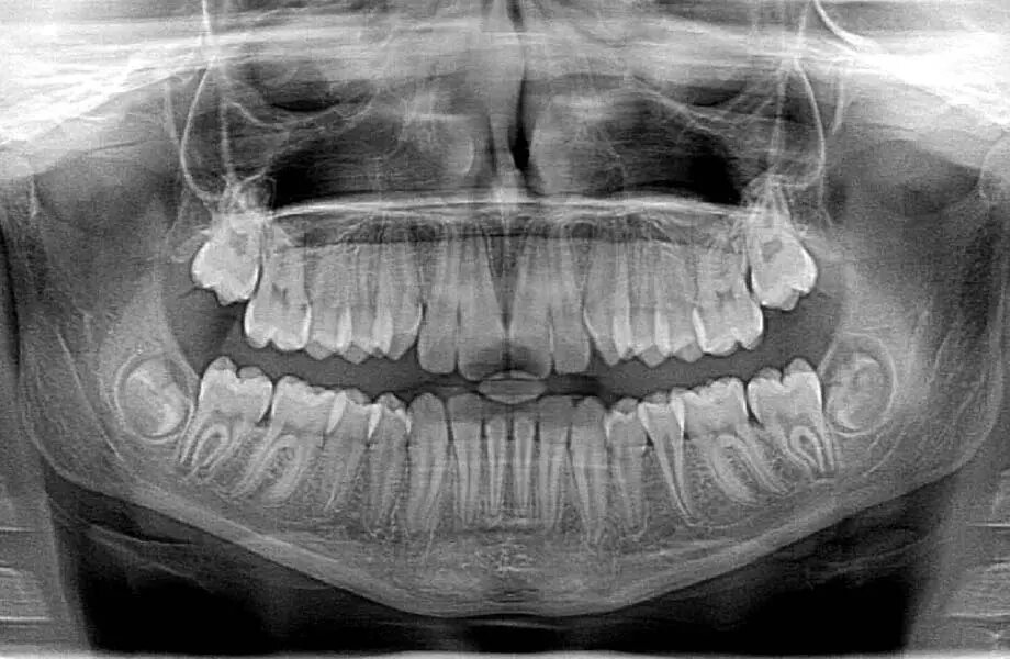
هر کسی که به طور منظم از خدمات دندانپزشکی استفاده کرده باشد، با پیشبند سربی سنگینی که قبل از گرفتن عکس رادیولوژی از دندانهایش روی بدنش میپوشد، آشناست، اما این منظره ممکن است تغییر کند.
کد خبر ۱۰۱۸۳۴۸



